I R
· De tijd van beschreven kaartjes bij het gewas zetten is voorbij Ik weet precies waar wat staat en anders herken ik het wel aan de blaadjes.
I r. Google's free service instantly translates words, phrases, and web pages between English and over 100 other languages. ISR staat voor Invaliden Sportvereniging Ridderkerk sporten/bewegen voor mensen met een lichamelijke beperking Onze vereniging is opgericht in 1972 Wij bieden al meer dan 40 jaar mogelijkheid tot in en ontspanning op sportief gebied. U zoekt een puzzel?.
Diergegevens en verblijfplaatsen bekijken Met deze app kunt u gegevens van runderen, schapen, geiten en paarden bekijken die in I&R zijn geregistreerd Dit kan door het levensnummer of chipnummer (paard) van het dier in te vullen Ook kunt u zoeken op de locatie van dieren Dit kan door het UBN o. · Ohm’s Law Calculator – Power, Current, Voltage & Resistance Calculator Below are the four Electrical calculators based on Ohm’s Law with Electrical Formulas and Equations of Power, Current, Voltage and Resistance in AC and DC Single phase & Three Phase circuit Enter the known values and select a conversion from the buttons below and click on Calculate result will display. Of wilt u notificaties ontvangen wanneer er signaleringen in uw I&R systeem staan?.
RDW Online Voertuig Informatie Vul hieronder uw kenteken in Gegevens opvragen. Agenda Commissie R&I Bekijk de agenda van Commissie R&I Reageer op deze pagina Subnavigatie Gemeenteraad. Via de app I&R dieren Uw eigen site instellen U kunt met de app nog geen signaleringen bekijken en meldingen doorgeven/herstellen U kunt wel via Direct regelen in het menu van de app naar de site waar u de.
Het is verplicht om een mondkapje te dragen Meer informatie en updates;. Reddit is a network of communities based on people's interests Find communities you're interested in, and become part of an online community!. 8 Z G P Z e N s p N Y o A 3 U n 6 s o r d Navigationssystem MERCEDESBENZ SLK (R171) 350 0 kW 272 PS ( Tweedehands EUR 239,00 Topverkoper Topverkoper of Beste voorstel EUR 10,00 verzendkosten van Duitsland 8 G Q e s p V o Y n 2 s W o G r d K T Y 9 Mercedes R171 SLK 0 Kompressor Gurtstraffer Gurt Sicherheitsgurt Vorne.
Webinar I&R Paard Webinar over identificatie en registratie van paarden dat ingaat op 21 april 21 Duur 1 uur Je kunt het webinar volgen vanaf je computer, tablet of telefoon Deel dit webinar x Systeemvereisten Je kunt aan webinars deelnemen vanuit bijna elk apparaat, zolang je over een (stabiele) internet connectie beschikt. Hulp bij je I&Radministratie Een correcte identificatie en registratie zorgen voor de traceerbaarheid van dieren Dit is van groot belang in het kader van dierziektenbestrijding en voedselveiligheid DGZ helpt je om dit correct te doen. 50 Jahre EDI GeburtstagswünschePfr iR Wolfgang Miller, in den 80er Jahren Vorsitzender des EDIMöchten Sie unsere Arbeit unterstützen?.
It's such a different slant on the general topic of formulas in R that I'm going to add a separate answer – IRTFM Mar 19 at 38 @IRTFM ok then since we can't close older into newer, either we close that into this or at least leave a comment there referencing this question as related/duplicate – smci Mar 19 at 42. Home / Bestuur / Gemeenteraad / Commissie Ruimte & Infrastructuur / Agenda Commissie R&I Corona Afspraak op het BELkantoor?. Ziet u iets ongewoons?.
500 million members Manage your professional identity Build and engage with your professional network Access knowledge, insights and opportunities. Search the world's information, including webpages, images, videos and more Google has many special features to help you find exactly what you're looking for. Google allows users to search the Web for images, news, products, video, and other content.
· I&Raffaire melkvee Ruim 2100 rundveebedrijven werden door de Nederlandse Voedsel en Warenautoriteit (NVWA) geblokkeerd vanwege onregelmatigheden in het Identificatie en Registratiesysteem (I&R). OEOACHTENIS AAN JOHANNA POUTSMA Wtduw• nn H010RIKCS \'A'I \\JtRLO GebOrcn te Ttrvlspel 1 April 1863 o,·crltden te Amsttnbm na voonien k zijn van de HH. Online vertaalwoordenboek NLITR Mijnwoordenboeknl is een onafhankelijk privéinitiatief, gestart in 04.
De Engelse term return on investment geeft het rendement op de investering aan Indien de investering een verlies oplevert dan is de return on investment een negatief getal Een alternatieve omschrijving is Rate of ReturnDe ROI van een geheel bedrijf kan men berekenen door de nettowinst te delen door de boekwaarde van de totale activaDe ROI van een deelproject kan. Bekijk de informatie en lees de waarderingen over Dermatoloog Siphanto, RI Er zijn 2 waarderingen met een gemiddelde van 9,1 geplaatst. App I&R dierenVia de app stal staat?.
Ina Regina (Ina) Adema (Amsterdam, 3 juni 1968) is een Nederlandse bestuurder en politica van de VVDSinds 1 oktober is zij commissaris van de Koning in de provincie NoordBrabant Levensloop Adema groeide op in Amstelveen, Scherpenzeel en DronrijpNa het behalen van haar diploma aan het Stedelijk Gymnasium Leeuwarden, studeerde ze Nederlands recht aan de. Other 1040 Schedules Information About the Other Schedules Filed With Form 1040. Or, you can uninstall IRIS OCR from your computer by using the Add/Remove Program feature in the Window's Control Panel On the Start menu (for Windows 8, rightclick the screen's bottomleft corner), click Control Panel , and then, under Programs , do one of the following.
Looking for online definition of I&R or what I&R stands for?. 1321 · Directed by Richard Colton With Luke Goss, Dean Cain, Amar Adatia, Jess Impiazzi In 40, a female humanoid AI is hacked by her husband and forced to kidnap the US vice president's son and execute him on live television. IRIS Products & Technologies OCR solutions for individuals, professionals and developers Experts in Optical Character Recognition for more than 25 years.
R, like S, is designed around a true computer language, and it allows users to add additional functionality by defining new functions Much of the system is itself written in the R dialect of S, which makes it easy for users to follow the algorithmic choices made. Stop en bel 0900 0905 (gebruikelijke belkosten) Belt u uit het buitenland?. Create an account or log in to Instagram A simple, fun & creative way to capture, edit & share photos, videos & messages with friends & family.
Search the world's information, including webpages, images, videos and more Google has many special features to help you find exactly what you're looking for. Eenvoudig I&Rmeldingen doen kan via de Basismodule van VeeManager, uw melding wordt dan direct doorgegeven aan het I&Rbureau van Economische ZakenHandig en tijdbesparend U kunt I&Rmeldingen, aangevuld met relevante informatie voor de stamboekregistratie, doorgeven via de Basis Module van Veemanager of via de VoiceresponseDenk hierbij aan. Het I&R Schaap/Geit pakket is een compleet programma waar mee u dierstromen kunt registreren en kunt melden bij het RVO Hiermee kunt u eenvoudig voldoen aan alle wettelijke verplichtingen Het voordeel van I&R Schaap/Geit is dat u kunt werken in groepen en per aanvoer en afvoer gegevens vast kunt leggen.
Share your videos with friends, family, and the world. No 2 is her duet with R Kelly, "I'm Your Angel," a slice of squishyhearted pseudo gospel that might better be called "Touched by a Marketing VP" David Browne of EW wrote "By the time R winds up — with "I Believe I Can Fly" and "I'm Your Angel," a beltbynumbers duet with Dion — Kelly has realized his crossover dream". · De NVWA is eind 17 samen met RVOnl een onderzoek begonnen naar onregelmatigheden in het Identificatie&Registratiesysteem (I&R) van runderen In dat jaar werd een ongebruikelijk hoog aantal kalvermeerlingen geregistreerd.
Ohm's Law is V = I x R where V = Voltage, I = Current and R = Resistance One ohm is the resistance value through which one volt will maintain a current of one ampere Georg Simon Ohm was the Bavarian physicist who determined the mathematical law of electric currents called Ohm's Law. The Volkswagen ID R also known as Volkswagen ID R Pikes Peak, is a prototype fully electric vehicle designed as part of Volkswagen's ID Project, and included within Volkswagen's R series of cars designed specifically for competing in motorsport events It is the first electric racing car designed by Volkswagen. I&R is listed in the World's largest and most authoritative dictionary database of abbreviations and acronyms The Free Dictionary.
2400 · I&R is een Europese verplichting Koeien, schapen, geiten en varkens krijgen een oormerk Voor paarden, ezels en pony’s is er het paardenpaspoort Hierin staan onder andere de uiterlijke kenmerken van een individueel paard Honden krijgen een chip. Bel dan 31 7 226 627 Zo bankiert u veilig. Sign in to iCloud to access your photos, videos, documents, notes, contacts, and more Use your Apple ID or create a new account to start using Apple services.
Find vacation rentals, cabins, beach houses, unique homes and experiences around the world all made possible by hosts on Airbnb. 0414 · Nieuwe I&R tarieven zijn rechtvaardiger Details Geschreven woensdag 02 april 14 1918 Omdat de overheidssubsidie op het systeem van Identificatie & Registratie (I&R) voor schapen en geiten wegvalt moet er vanaf dit jaar een hoger bedrag worden opgebracht. Hier vindt u al uw Jan van Haasteren, Wasgij, Heye en Disney Exclusive legpuzzels en nog veel meer!.
C r i s selecteert bijzondere merken op basis van hun verhaal en achtergrond Bekijk de unieke collectie van c r i s online of in de winkel in Utrecht.

Ex 1 1 9 Show That Each Of Relation R In Set A X 0 X 12

Physics For Kids Ohm S Law

Ferroptosis Beating On Death S Door American Journal Of Physiology Heart And Circulatory Physiology
I R のギャラリー

Intertemporal Choice And Budget Constraint With Diagram Consumption Function

The Cyclooxygenase 1 Mpges 1 Endothelial Prostaglandin Ep4 Receptor Pathway Constrains Myocardial Ischemia Reperfusion Injury Nature Communications

Four Army Officers Named In Fir Over Brigadier S Suicide

Beautiful R Letter Tattoo With Love Heart Youtube

Glitter Capital Letter R Sticker Transparent Png Free Image By Rawpixel Com Ningzk V Transparent Stickers Letter R Glitter Letters

Neuroprotective Effects Of Pinocembrin On Ischemia Reperfusion Induced Brain Injury By Inhibiting Autophagy Sciencedirect
Curcumin Protects Against Hepatic Ischemia Reperfusion Induced Injury Through Inhibiting Tlr4 Nf Kb Pathway Oncotarget

Mst1 Promotes Cardiac Ischemia Reperfusion Injury By Inhibiting The Erk Creb Pathway And Repressing Fundc1 Mediated Mitophagy The Journal Of Physiological Sciences Full Text
Fixed Rate Mortgage Wikipedia
Spire Reading Intervention School Specialty Eps

Ohm S Law How Voltage Current And Resistance Relate Ohm S Law Electronics Textbook

Interaction Of Neutrophils With Macrophages Promotes Il 1b Maturation And Contributes To Hepatic Ischemia Reperfusion Injury The Journal Of Immunology

Ohm S Law How Voltage Current And Resistance Relate Ohm S Law Electronics Textbook

Apelin Apj Signaling Suppresses The Pressure Ulcer Formation In Cutaneous Ischemia Reperfusion Injury Mouse Model Scientific Reports

How Do I Disable The Radeon Software Alt R Overlay Digital Citizen

An Introduction To Statistical Learning With Applications In R Springer Texts In Statistics Book 103 1st Ed 13 Corr 7th Printing 17 James Gareth Witten Daniela Hastie Trevor Tibshirani Robert Amazon Com

Reduction In Mitochondrial Iron Alleviates Cardiac Damage During Injury Embo Molecular Medicine

19 869 R Stock Photos Images Download R Pictures On Depositphotos

What Does Z N Q And R Stand For In Set Notation Youtube

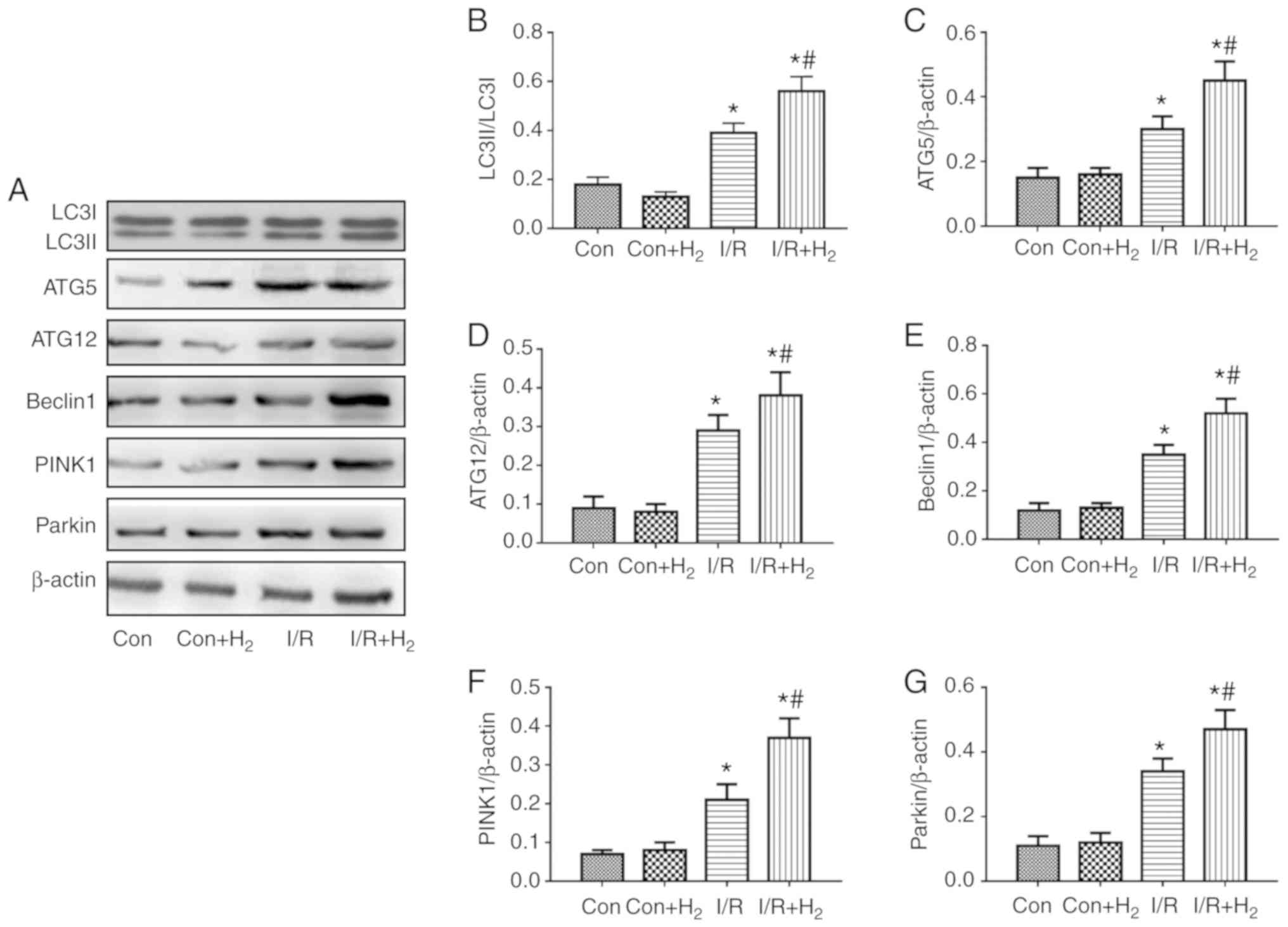
Hydrogen Rich Saline Alleviates Inflammation And Apoptosis In Myocardial I R Injury Via Pink Mediated Autophagy
M R Linkedin

Project In Python Colour Detection Using Pandas Opencv Dataflair

Critical Role Of Mitochondrial Ros Is Dependent On Their Site Of Production On The Electron Transport Chain In Ischemic Heart Abstract Europe Pmc
The Money Market Model Article Khan Academy

Cardioprotection Of Dapagliflozin And Vildagliptin In Rats With Cardiac Ischemia Reperfusion Injury In Journal Of Endocrinology Volume 236 Issue 2 18

The Ubiquitin Ligase Traf6 Exacerbates Ischemic Stroke By Ubiquitinating And Activating Rac1 Journal Of Neuroscience

Neutrophil Macroaggregates Promote Widespread Pulmonary Thrombosis After Gut Ischemia Science Translational Medicine

2 850 Letter R Stock Photos Images Download Letter R Pictures On Depositphotos

An Ultralong Cdrh2 In Hcv Neutralizing Antibody Demonstrates Structural Plasticity Of Antibodies Against E2 Glycoprotein Elife

Fisher Equation Overview Formula And Example

Voltage Current Resistance And Electric Power General Basic Electrical Formulas Mathematical Calculations Calculator Formula For Power Calculating Energy Work Equation Power Law Watts Understandimg General Electrical Pie Chart Electricity Calculation

19 869 R Stock Photos Images Download R Pictures On Depositphotos

Jci Upregulation Of Rubicon Promotes Autosis During Myocardial Ischemia Reperfusion Injury

Electromotive Force And Internal Resistance
Frontiers Regulatory Mechanisms Of The Nlrp3 Inflammasome A Novel Immune Inflammatory Marker In Cardiovascular Diseases Immunology

Effects Of N Acetylcysteine And Pentoxifylline On Remote Lung Injury In A Rat Model Of Hind Limb Ischemia Reperfusion Injury

Mitochondrial Lonp1 Protects Cardiomyocytes From Ischemia Reperfusion Injury In Vivo Journal Of Molecular And Cellular Cardiology

R And I Letter Whatsapp Status Whatsapp Status For R And I Letter Whatsapp Status King Youtube

Mathwords Infinite Geometric Series

Ccaaa

Registered Trademark Symbol Trademark Circle R Symbol

I Can Say The R Sound Articulation Workbook Peachie Speechie

19 869 R Stock Photos Images Download R Pictures On Depositphotos

Physics For Kids Ohm S Law

A Dual Role For Peripheral Gdnf Signaling In Nociception And Cardiovascular Reflexes In The Mouse Pnas

Alliance A

2 1a Simple And Compound Interest Finite Math

Neuroprotective Effects Of Pinocembrin On Ischemia Reperfusion Induced Brain Injury By Inhibiting Autophagy Sciencedirect

Voltage Divider And Voltage Division

Apelin Apj System A Novel Potential Therapy Target For Kidney Disease Huang 18 Journal Of Cellular Physiology Wiley Online Library

Ohms Law Tutorial And Power In Electrical Circuits

What Is R Analytics Data Analytics With R Explained Sisense

Cells Free Full Text Inflammasome Mediated Inflammation In Liver Ischemia Reperfusion Injury Html

Tutorial How To Install R On Windows Mac Os X And Ubuntu Datacamp

How To Order Girl Scout Cookies Online This Year Through Grubhub Gma

The Pi3k Akt P38mapk And Jak2 Stat3 Signaling Pathways Mediate The Protection Of So 2 Against Acute Lung Injury Induced By Limb Ischemia Reperfusion In Rats Springerlink

R Romantic Stock Photos And Images 123rf

Cells Free Full Text Inflammasome Mediated Inflammation In Liver Ischemia Reperfusion Injury Html

New Insights Into The Role Of Mitochondria In Cardiac Microvascular Ischemia Reperfusion Injury Springerlink
R Tree Wikipedia

Frontiers Rosmarinic Acid Protects Against Inflammation And Cardiomyocyte Apoptosis During Myocardial Ischemia Reperfusion Injury By Activating Peroxisome Proliferator Activated Receptor Gamma Pharmacology

Interaction Of Neutrophils With Macrophages Promotes Il 1b Maturation And Contributes To Hepatic Ischemia Reperfusion Injury The Journal Of Immunology

How Can I Add Google Analytics To My Customizr Website Press Customizr Documentation

A Dual Role For Peripheral Gdnf Signaling In Nociception And Cardiovascular Reflexes In The Mouse Pnas

Analogous Electrical And Mechanical Systems
V I R Calculations For Parallel The Physics Classroom Facebook

Ex 1 1 9 Show That Each Of Relation R In Set A X 0 X 12

A Non Ionotropic Activity Of Nmda Receptors Contributes To Glycine Induced Neuroprotection In Cerebral Ischemia Reperfusion Injury Scientific Reports

Cardioprotection Of Dapagliflozin And Vildagliptin In Rats With Cardiac Ischemia Reperfusion Injury In Journal Of Endocrinology Volume 236 Issue 2 18

Ohm S Law Resistor Fundamentals Resistor Guide

Release Of Extracellular Dna Influences Renal Ischemia Reperfusion Injury By Platelet Activation And Formation Of Neutrophil Extracellular Traps Kidney International
The Comprehensive R Archive Network

Mst1 Promotes Cardiac Ischemia Reperfusion Injury By Inhibiting The Erk Creb Pathway And Repressing Fundc1 Mediated Mitophagy The Journal Of Physiological Sciences Full Text

19 869 R Stock Photos Images Download R Pictures On Depositphotos

Amazon Com Learn R In A Day Ebook Murray Steven Kindle Store

R Letter Love Whatsapp Status R Letter Love Song Status R Love Status Youtube Fancy Letters Love Letters Image I Love You Lettering

Ihr Experte Im Wohnbau I R Gruppe Gmbh

Aktuelles I R Gruppe Gmbh

The Ubiquitin Ligase Traf6 Exacerbates Ischemic Stroke By Ubiquitinating And Activating Rac1 Journal Of Neuroscience
خلفيات مصورة لحرف I و R بصورة واحدة رمزيات روعة لحرف I و حرف R بالصور حرف الاى مع حرف الإر صقور الإبدآع

Reduction In Mitochondrial Iron Alleviates Cardiac Damage During Injury Embo Molecular Medicine

Mitochondrial Bioenergetics And Cardiolipin Alterations In Myocardial Ischemia Reperfusion Injury Implications For Pharmacological Cardioprotection American Journal Of Physiology Heart And Circulatory Physiology

Contemporaneous 3d Characterization Of Acute And Chronic Myocardial I R Injury And Response Nature Communications

R Love I Whatsapp Status R Letter I Letter Whatsapp Status I Love R Whatsapp Status Youtube

What Is Ohm S Law Fluke

What Is Ohm S Law Fluke

Attenuation Of Renal Ischemia Reperfusion Injury By Oleanolic Acid Preconditioning Via Its Antioxidant Anti Inflammatory And Anti Apoptotic Activities

Naoxintong Attenuates Ischaemia Reperfusion Injury Through Inhibiting Nlrp3 Inflammasome Activation Wang 17 Journal Of Cellular And Molecular Medicine Wiley Online Library
Ohm S Law Wikipedia

Attenuation Of Renal Ischemia Reperfusion Injury By Oleanolic Acid Preconditioning Via Its Antioxidant Anti Inflammatory And Anti Apoptotic Activities

Polar Contour Plot In Mathematica Mathematica Stack Exchange



