
Efficient Solar Driven Electrocatalytic Co 2 Reduction In A Redox Medium Assisted System Nature Communications
Scribd Naval Aviation Aircraft

Performance Evaluation Of Instruction Set Extensions For Long Integer Modular Arithmetic On A Sparc V8 Processor Semantic Scholar
Znv8 Aj のギャラリー

L J 7 Fg Vg 8sgm Mhl Wmz

Question Answer Constants The Following Values May Be Useful When Solving This Tutorial Part A In The Activity Grand Paper Writers

Shutterstock Puzzlepix

A Q J M Z O R W P I N B C L E X Canvas Print Canvas Art By Alain

Engineered Spin State In Ce Doped Lacoo3 With Enhanced Electrocatalytic Activity For Rechargeable Zn Air Batteries Sciencedirect
Solved 692 V Z 8z0 1092 V J522 8l 0ºa J8w N V 32 Chegg Com
Profile Dat Pdf

Ppt Dm0i Lpv Rpalp8lpv Xl8d 8 Js V G0 J 0l U Powerpoint Presentation Id

The Philippine Journal Of Science Plate V 1 O X O Hiq O 0 Z J Lt Lt Z A Lt N O Cm In O Ino Oo
Stmicroelectronics Nv St25pc Nfc Facebook

Evqv Umvfvui M Kvb Cwievnxi Z Ni Gawq

Bibliography Geophysical Laboratory

What Are The Steps To Conducting An Internal Pen Test By Dr Heinz Doofenshmirtz Apr 21 Medium

Uberzuge Organischer Natur 1969 Materials And Corrosion Wiley Online Library
D Ee Cxg 人気の最高の壁紙無料whd

Galvanostatic Discharge Stripping Experiments Of Pure Al And Zn Download Scientific Diagram

X Ray Absorption Fine Structure Study Of Znse Sub X Te Sub 1 X Alloys Topic Of Research Paper In Chemical Sciences Download Scholarly Article Pdf And Read For Free On Cyberleninka Open Science Hub

Scania T V8 Longline Peeters Zn Ps Truckphotos Pstruckphotos Flickr

Scania T470 J Peeters Zn N V Tipper B Manf3s Erandas Flickr

Successive Ionic Layer Adsorption And Reaction Deposited Transparent Cu Zn S Nanocomposites As Hole Transport Materials In Cdte Photovoltaics Energy Technology X Mol

Charge Relaxation Times Z Insepov V Ivanov Glass

Gramy Na Merkurymc Pl W Minecraft Youtube

Angers Web Com 台所スペース有効活用 2 パンツ特別登場 Milled

Biomonitoring Program Standard Operating Procedures Water Quality Bioassay Freshwater Biology Z O M 9 H Ffl S Cd Cq Cq U E A Co Co Co Co Cd Co 8

Scania Scania T580 V8 Super J Peeters Zn Transport Booischot

Ppt Extended Precision Operations Powerpoint Presentation Free Download Id

In Case You Re Planning To Get On The Job Hunting This Weekend Just A Little Reminder Bit Ly 2pnjnxr Pic Twitter Com Yp3avlnjnt Peer Poweruk
Papers Past Newspapers Marlborough Express 26 July 1913 Page 7 Advertisements Column 5

Simultaneous Determination Of Heavy Metals By An Electrochemical Method Based On A Nanocomposite Consisting Of Fluorinated Graphene And Gold Nanocage Springerlink

Azadipyrromethene Based Zn Ii Complexes As Nonplanar Conjugated Electron Acceptors For Organic Photovoltaics Mao 14 Advanced Materials Wiley Online Library

Handbook Of Thermodynamic Tables And Diagrams A Selection Of Tables And Diagrams From Engineering Thermodynamics 1 05 430 1 R J 1 0 9 P

Tf Forkortelser Og Koder Www Indiansuc No Word Search Puzzle Words Geocaching

L J 7 Fg Vg 8sgm Mhl Wmz

Simulated J V Behaviour Of The Solar Cells Without And With The Download Scientific Diagram

Servo Stepper Controller 750 673 Wago

Dendrites In Zn Based Batteries Yang Advanced Materials Wiley Online Library

Device Characteristics From J V Curve By A Solar Simulator Under One Download Scientific Diagram

Answered Qy Use Gramer S Rule To Find K Y And Z Bartleby

German At Portsmouth German Scrabble Points For Each Letter There Are No Ss Tiles But You Score Well For Using Umlauts 1 Punkt E N S I R T U

Prezentaciya Sostav I Ustrojstvo Kompyutera Shoe

Scania T 580 V8 Torpedo J Peeters B Mateuszpyska Flickr

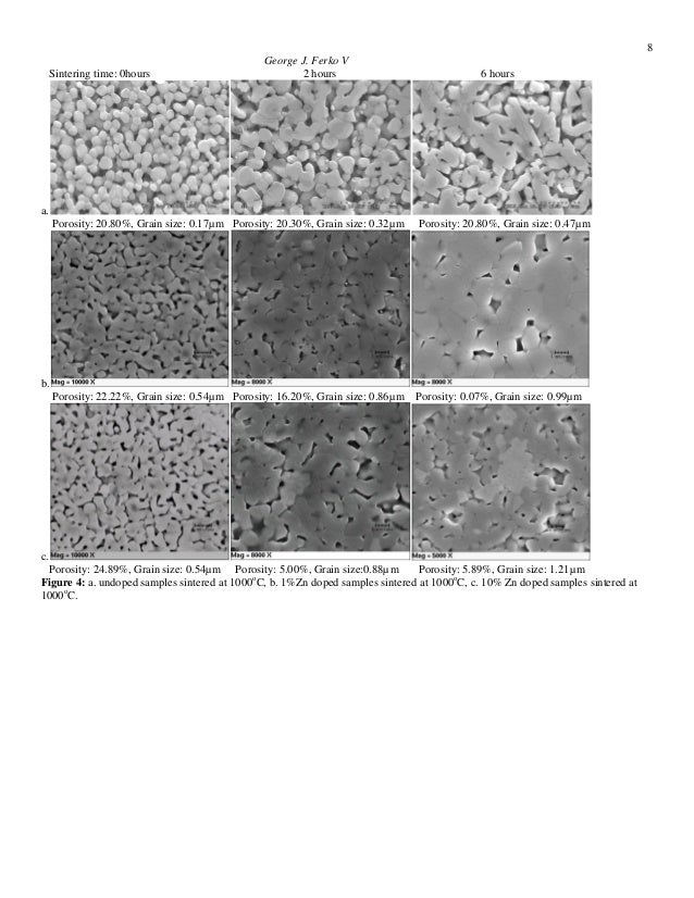
Doped Titania Project Zinc Focus George J Ferko V

Controlled Synthesis And High Performance Of Zn Ni Co M M O S P And Se Nanoneedle Arrays As An Advanced Electrode For Overall Water Splitting Sciencedirect

Color Online Epr Spectra Of Zn 1 X Co X O Single Crystals For B C Download Scientific Diagram

Www Youtube Comwatch Vjki Fb Vo Ik

Patatoliner Instagram Posts Photos And Videos Picuki Com

Study And Analyses Of Pigments In Minoan Larnakes From The Peripheral Unit Of Rethymnon Crete Applying Non Destructive Techniques Preliminary Results

Speed Time Curve Study Of Electric Railway Load Conditions 8 4 I 1i H J I I K K R 11 Z Z 2 A I

Angers Web Com ボンモマン新作発表会 Tシャツブラウス解禁 Milled

Extracted From J V Characteristics For N Cd 0 5 Zn 0 5 S Different Type Download Scientific Diagram

Electrodeposition Of Tin Zinc Bismuth Alloys From Aqueous Citrate Edta Baths Sciencedirect

Solved I Z N A Zz Yis Il The B Jo X 374 J Z E 100 E Chegg Com

Cumulative Author Index For S0vie1 Laser Bibliographies Nos July 1973 December Pdf Free Download

Abstract Of Reports Of The Condition Of Montana State Banks Trust Companies And Private Banks 1 I Gt Co S 8 0 Z0 N I 5 U K C

V Mzg Cv V Cwiw Pw Z Kw

My Publications Chm 304 Worked Examples Iii Page 2 Created With Publitas Com

Angers Web Com 青いチョコ 最強キッチン目隠し箱 Milled

J V Characteristics Of Solar Cells With Zn O S Buffer Under Illumination Download Scientific Diagram

Pdf Kostenfreier Download

J Link V8 Jlink Segger Arm Emulator Debugger Price Us 59 00 For Arm7 Arm9 Arm11 Cortex M3 A8 S3c2410 S3c2440 S3c6410 Accelerate Your Developing While Saving Your Investment

Shutterstock Puzzlepix

Solved I If V 0 What Is Im O J If Ker 0 V Wh Chegg Com

Zaikina Group
Solved 5 Given J K And L Are 8 Bits J 0x73 K 0x6 Chegg Com

Solved A 7 9 Mu C Charged Particle Is Moving At A Const Chegg Com

Ujpo 2 8 Publications

Calibration Of Pitot Tubes Plate Yi Results Wft H 2 I N P 1 P E 21 3taj Table I Reisults With C I Nj Ti Pe Rv O A

Patatoliner Instagram Posts Photos And Videos Picuki Com

Jpeeters Instagram Posts Gramho Com

Famous Couples Answer Sheet Giftypedia

Phase Diagram Of Syk Array T Vs Dimensionless Hopping Strength L N Download Scientific Diagram

Electrodeposition Study Of The Cu Zn Mo System In Citrate Sulfate Medium

Light J V Characteristics For Zn 1 X Mg X O Cu 2 O Solar Cells Download Scientific Diagram

Fast Electrodeposition Of Zinc Onto Single Zinc Nanoparticles Springerlink

Successive Electrochemical Conversion Reaction To Understand The Performance Of Aqueous Zn Mno2 Batteries With Mn2 Additive Materials Today Energy X Mol

J Link V8 Jlink Segger Arm Emulator Debugger Price Us 59 00 For Arm7 Arm9 Arm11 Cortex M3 A8 S3c2410 S3c2440 S3c6410 Accelerate Your Developing While Saving Your Investment

Www O Mondo Com By Suzie Booth Issuu

Spisk Na Nauchnite Publikacii Na

Materials Free Full Text Binary And Ternary 3d Nanobundles Metal Oxides Functionalized Carbon Xerogels As Electrocatalysts Toward Oxygen Reduction Reaction Html

Chapter 18 Electrochemistry Oxidation Number An Oxidation Number

Les Compos Officielles Du Match De Bundesliga Entre Le Borussia Mochengladbachet Le Werder Breme

Ppt Lj7fg Vg 8 Sgm Mhl Wmz6 5 Sz6 Z 5 Sfxo 5zfjt G Vg Js Lejg Efu Powerpoint Presentation Id


 
        
